남포동치과 사랑니발치 까다로운 케이스도 가능한!

 

남포동치과

남포동치과

 

치아는 우리 삶의 질을 좌우하는 신체 부위 중 하나로 하나라도 문제가 생기게 되면 일상생활에까지 큰 불편함을 느끼게 되죠. 관리를 소홀히 할 경우에는 충치를 비롯하여 각종 구강질환이 발생할 수 있으며, 꼼꼼한 관리를 하더라도 노화나 예상치 못한 사고 또는 외상으로 문제가 생기기도 한답니다.

또한, 사랑니로 인해 통증이 생길 수도 있는데, 모든 사람에게 나타나는 것은 아니지만 인구의 절반 정도가 갖고 있을 만큼 흔합니다. 형태에 따라 인접치 뿐 아니라 구강 내부 전체까지 악영향을 줄 수 있는 만큼 사랑니발치 잘하는 남포동치과에 내원하시길 권해드립니다.

 

수도치과 내부

남포동치과

 

사랑니는 영구치들이 모두 맹출하고 난 후 10대 후반~20대 초쯤 뒤늦게 자라기 시작하는데요, 좁은 공간에서 맹출하는 탓에 비스듬히 자라거나 잇몸뼈 속에 매복된 형태가 많습니다.

비정상적인 형태로 나오게 되면 인접 치아 뿌리를 자극하고 압박을 가해 통증을 유발하는 것은 물론, 칫솔모가 닿지 않아 양치질이 어려워짐에 따라 충치나 치주질환, 구취가 유발됩니다. 매복된 형태라면 종양이나 낭종이 생길 위험이 높아지고 잇몸에 물혹이 생기기도 합니다.

계속 방치할 시, 물혹의 크기가 커져 턱뼈에도 영향을 줄 수 있는 만큼 초기에 육안으로 확인되거나 구강 내 맨 안쪽에서 통증이 느껴진다면 빠른 시일 내로 남포동치과에 내원하여 상태 확인 후 발치를 진행하는 것이 좋습니다.

 

남포동치과

남포동치과

 

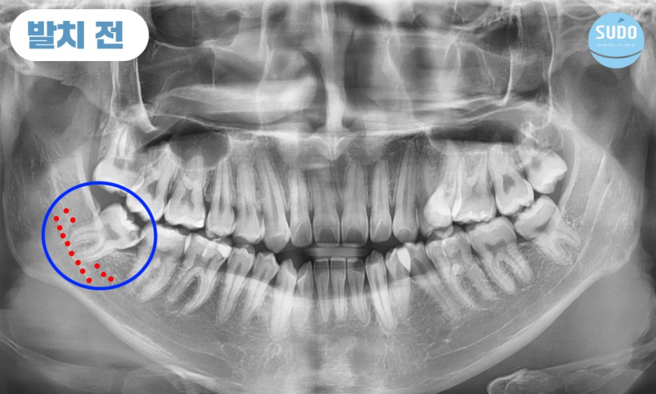
본 환자분은 20대 초반의 남성분으로 오른쪽 아래 매복되어 있는 사랑니에 충치가 심하게 진행되어 치아 일부가 이미 파절된 상태로 본원에 내원해 주셨습니다.

 

남포동치과

남포동치과

남포동치과

남포동치과

 

X-ray를 촬영해 보니 치아 뿌리 끝이 신경관과 매우 근접한 상태였습니다. 신경관 손상 가능성이 있어 까다로운 케이스였는데, CT로 촬영하여 정밀 분석한 결과를 토대로 환자분의 충분한 상담을 통해 발치를 진행하기로 했습니다.

 

남포동치과

남포동치과

 

4개 모두 사랑니가 맹출했지만 발치는 처음인 본 환자분의 두려움을 덜어드리기 위해 발치 과정을 꼼꼼하고 자세히 설명드렸기에 환자분께서도 큰 불편함 없이 발치할 수 있었다고 말씀해 주셨습니다.

 

남포동치과

남포동치과

 

다른 영구치와 같이 정상적으로 맹출하면 잇몸의 절개 없이 비교적 간단히 발치가 가능하지만, 비정상적으로 맹출하거나 턱뼈 속에 매복되어 있는 형태의 경우에는 잇몸을 절개하는 과정과 더불어 뼈 삭제를 동반한 발치가 필요하기 때문에 매우 섬세한 치료 중 하나입니다.

특히, 본 환자분과 같이 신경관과 가까이 위치했다면 난도가 높은 과정이 필요한 만큼 의료진의 선택이 더욱 중요해집니다.

 

남포동치과

남포동치과

남포동치과

남포동치과

 

파노라마 사진에서 보이는 것과 같이 아래쪽 어금니 아래는 많은 신경들이 지나갑니다.

발치를 하다가 신경을 잘못 건드릴 위험이 있기 때문에 정밀한 진단이 가능한 3차원 영상 장비를 갖추고 있는지, 풍부한 임상경험과 노하우를 겸비한 의료진이 상주하고 있는지 확인하는 것이 중요합니다.

 

수도치과 내부

남포동치과

 

본원은 3D CT를 활용하여 위치나 형태, 주위 신경 구조물 등 육안으로 확인 어려운 해부학적인 구조물까지 면밀히 파악하여 계획을 수립하고 있으므로 신경 손상이나 각종 부작용, 합병증 등을 예방하고 통증과 부기를 줄일 수 있습니다.

또한, 통증 저감 마취기를 구비하고 있어 마취액 주입 시 느껴지는 불편한 통증에 대한 걱정은 하지 않아도 괜찮습니다.

 

수도치과 임플란트

남포동치과

 

남포동치과 수도치과에는 풍부한 임상 경험과 노하우를 보유한 보건복지부 인증 통합치의학과 전문의이자 치의학 박사이신 김호길 대표원장님께서 1:1 맞춤 진료를 시행하고 있으며, 진단부터 사후관리까지 모든 과정에서 함께 하고 있기에 난도 높은 과정도 진행 가능합니다.

아직도 사랑니발치 치과를 고민하신다면 어려운 케이스도 문제없이 진행 가능한 남포동치과 수도치과에 내원하여 꼼꼼한 상담을 받아보시길 바랍니다.

남포동치과, 남포동치과, 남포동치과

* 모든 증례 사진은 의료법 제23조, 제56조에 의거하여
당사자자의 동의하에 게시하였습니다.

* 치료 사진은 모두 본원에서 치료한 환자분의 사진입니다.

* 치료 사진은 모두 동일인의 사진이며, 동일조건에서
촬영하였습니다.

* 개인의 차이에 따라 시술 및 수술 후
부작용이 발생할 수 있으며,
의료진과 충분한 상담을 받으시길 바랍니다.

 


 

홈페이지 바로가기

인스타그램 바로가기

네이버예약 바로가기

 




문의 전화

051-416-2888

네이버 예약

네이버 예약