영도임플란트 어려운 케이스라도 가능해요!

사람은 생후 6개월쯤에 첫 유치가 자라나며, 이후에는 모든 유치가 한 번씩 빠지고 영구치가 자리를 차지합니다. 영구치는 일생 동안 사용하는 치아로, 손상되면 원래 상태로 돌아가지 않기 때문에 지속적인 관리가 필요합니다.
현대사회에서는 수명이 점점 늘어나고, 이에 따라 치아의 수명도 늘어나면 좋겠지만 자연치아를 오랫동안 유지하는 것은 쉬운 일이 아닙니다. 노화, 외상, 부적절한 생활습관 등으로 치아가 손상되고, 이러한 현상이 계속되면 치아의 상실이 발생할 수 있습니다.

과거에는 노년층에서 주로 발생하는 문제였지만, 최근에는 다양한 연령층에서 발생하는 추세입니다. 그래서 어떤 원인이든 치아를 잃게 된 경우에는 영도임플란트치과 본원에서 진료를 받는 것을 권해드립니다.
영도임플란트는 상실한 치아를 대체할 수 있는 방법으로, 자연치아와 매우 흡사한 형태와 기능을 가지고 있습니다. 티타늄으로 만들어진 인공치근을 잇몸뼈에 식립하여 인공치근과 보철물을 연결하는 과정으로 진행됩니다.


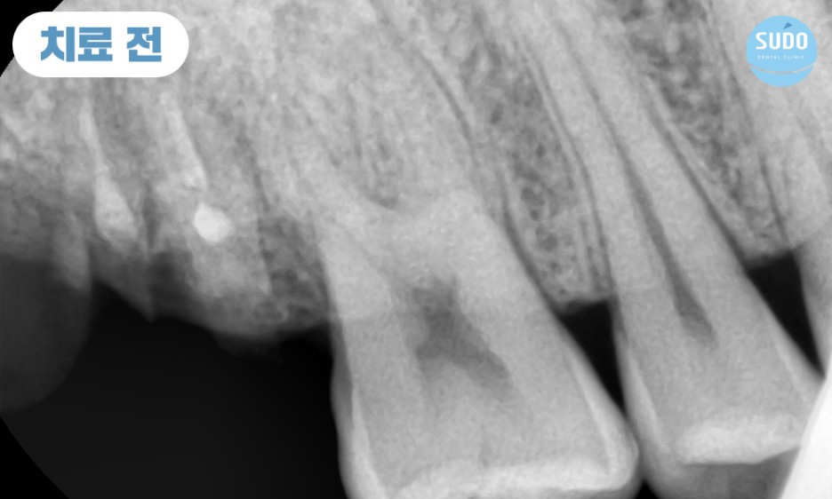
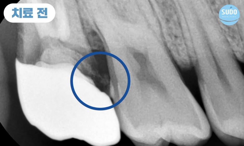
위 환자분은 20대 후반의 남성분으로, 오른쪽 위 가장 안쪽 어금니 보철물이 빠질 것 같다고 하시며 수도치과로 내원해 주셨습니다. 보철물이 완전히 부러진 상태는 아니라서 기존 보철물을 제거한 후 치아 내부 상태를 확인하였습니다.
상태가 양호하다면 부족한 부분을 보강하기 위해 기둥을 세우고 재보철치료를 진행할 수 있었으나, 내부 상태가 좋지 않을 경우 치아를 발치하고 임플란트 치료를 진행해야 할 것으로 설명드렸습니다.


기존의 보철물 제거하고 보니, 이미 뿌리까지 충치가 많이 진행된 상태로 살려서 쓰기 힘들 것이라 판단되어 당일 발치 후 임플란트 진행 계획을 수립하였습니다.
이전 진료 당시에 신경치료를 완료한 후 보철물을 부착한 상태였으므로 충치가 심하게 진행되었음에도 통증을 전혀 느낄 수 없었습니다.


식립 당일 힐링 어버트먼트를 결합한 채로 본래의 잇몸뼈와 안정적으로 융합될 수 있도록 충분한 기간 동안 기다려주었습니다.
힐링 어버트먼트란, 임플란트를 보호하고 잇몸 조직의 적절한 치료를 촉진하며 미관을 개선하고 최종 보철물의 배치를 위한 안정적인 기준을 제공하기 위한 목적으로 사용합니다.

잇몸뼈의 융합을 위해 약 2개월 정도 기다린 후 영도임플란트치과 본원에서는 맞춤형 지대주 및 보철을 완성해 드렸습니다. 맞춤형 지대주를 사용할 경우 기성품으로 제작된 똑같은 크기와 모양의 지대주가 아닌 환자분들 개개인의 구강구조에 맞추어 제작한 것이므로 잇몸 라인에 맞춘 제작으로 틈이 생기지 않고 음식물 찌꺼기의 끼임을 방지해 주어 염증을 예방하는 효과가 있습니다.
또한, 지대주에 고정하게 되는 크라운에 균등한 교합력이 가해지기 때문에 쉽게 금이 가거나 파절되지 않고 유지력을 높여주어 부담을 줄여줄 수 있습니다.


최종 보철물을 장착하고 모든 과정을 마무리한 모습입니다.
임플란트를 단단하게 오랜기간 동안 사용하기 위해서는 인공치근과 잇몸뼈와의 융합이 매우 중요합니다. 잘 융합되어 단단하게 고정되어야 문제없이 사용이 가능하기 때문에 인공치근이 안정적으로 자리 잡을 수 있도록 기다려준 뒤 보철물을 장착합니다.
환자분께서는 잇몸뼈에 단단하게 고정된 임플란트로 편안한 식사에 만족도가 매우 높으셨으며, 주변 치아와의 크기와 색깔도 자연스러움에 감사의 인사를 전해주셨습니다.


영도임플란트는 치과에서 난이도가 높은 진료 중 하나이지만, 기술의 발전과 우수한 재료의 보급, 의료진의 노하우로 좋은 결과를 얻을 수 있습니다.
성공적인 결과를 위해서는 잇몸뼈의 양과 질이 매우 중요합니다. 따라서 발치 후 즉시 식립이 가능한지 여부는 의료진과 면밀한 상담을 해야 하며, 본원에서는 잇몸뼈가 약한 경우 시간을 두고 뼈이식을 진행하거나 발치 당일에 뼈이식을 시행합니다.

수도치과는 풍부한 임상경험과 전문 지식을 가진 치의학 박사이자 보건복지부 인증 통합치의학과 전문의로 활동 중인 대표원장님께서는 환자 한 분, 한 분에게 맞춤 진료를 제공하기 위해 최선을 다하고 있습니다.
영도임플란트를 고민하고 계시다면, 15년간 쌓아온 믿음과 함께 꼼꼼한 상담을 받을 수 있는 본원을 방문해 보시길 바랍니다. 늘 편안하고 한결같은 진료로 먼저 다가가는 수도치과가 되겠습니다.