영도치과 사랑니로 인해 앞어금니까지 충치가 생겼어요

‘치과 진료’라고 하면 통증뿐 아니라 시간과 비용이 많이 소요된다고 생각하는 분들이 계시는데요, 조기에 발견하여 빠르게 진료를 받아준다면 부담을 줄일 수 있습니다.
따라서, 본원은 정기적인 구강검진을 무엇보다 강조하고 있으나 정기검진에 대한 중요성에 대해 알고 있더라도 통증을 느낀 후에야 방문하는 경우가 많습니다. 정기검진을 받아주면 육안으로 확인되지 않는 치아 문제가 통증, 부기 등과 같은 증상이 나타나기 전에 찾아낼 수 있습니다.
특히나 매복 사랑니의 경우, 아직 통증이 발생하지 않아 방치하는 경우가 많은데 인접치까지 다양한 문제를 일으킬 수 있기 때문에 조기에 발견하여 해결하는 것이 좋으며, 스케일링 등의 꾸준한 관리로 치주질환은 예방해야 합니다.

어금니는 작은 어금니와 큰 어금니의 순서로 자리하고 있습니다. 그중 큰 어금니는 제1대구치, 제2대구치, 제3대구치로 구성되어 있죠.
‘제3대구치’는 입안에서 가장 늦게 나오는 치아로 흔히 ‘사랑니’라고 불리는데요, 사람에 따라 개수나 모양, 구조, 위치가 다양합니다. 일반적으로 큰 어금니와 비슷해야 하지만 다른 영구치에 비해 기형 및 퇴화 현상이 나타나기 때문에 구강질환을 일으킬 수 있어 발치를 권해드립니다.

주의해야 할 구강질환으로는 충치, 주위염 등이 있습니다. 치아는 좁고 깊은 홈이 있기 때문에 음식물 찌꺼기가 쉽게 끼는데 어 금니보다 더 깊숙한 곳에 위치하고 있어 양치질이 어려워집니다.
아무리 열심히 양치질을 하더라도 칫솔모가 닿지 않는 부분이 생길 수 있으며, 그로 인해 충치가 발생하는 것이지요. 문제는 사랑 니에만 그치지 않고 인접한 어 금니까지 영향을 미칠 뿐 아니라 신경, 잇몸뼈까지 퍼져 치아의 기능과 형태가 크게 손상될 수 있습니다.
심한 경우에는 음식을 저작하는 것조차 힘들어 임플란트와 같은 수복치료를 진행해야 할 수 있기 때문에 정기적인 구강검진을 통해 사랑 니 여부를 확인한 후 3D CT 장비를 이용하여 3차원적으로 구강 상태를 정밀하게 파악하는 과정이 필요로 합니다.

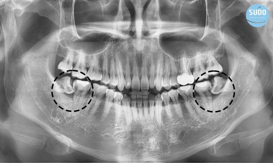
위 환자분은 파노라마 X-ray를 확인한 결과, 비스듬하게 누워있는 ‘부분 매복 사랑니’에 충치가 관찰되었습니다.
앞어금니에까지 신경을 침범한 ‘치아 사이 충치’ 또한 보이는데요, 매복 사랑니와 어금니 사이에 계속해서 이물질이 끼여 이가 썩은 것으로 사랑니 충치와 사랑 니로 인한 어금니 충치를 치료하기로 계획하였습니다.

그냥 충치치료만 하면 안 되나요?
사랑니가 정상적으로 맹출하여 위 사랑 니와 맞물려 제대로 된 저작기능을 한다면 충치치료를 진행할 수 있지만 위 환자분의 경우는 사랑 니를 관리할 수 없는 상태이며, 다시 재발할 위험이 있습니다.
구강 위생을 불량하게 만들기 때문에 대부분 발치하는 것을 권해드립니다.

양쪽 사랑니를 뽑은 후 앞어금니들은 신경치료를 하고 크라운을 씌운 상태입니다.
이렇듯 사랑니는 치아 자체로도 고민거리인데 세균 감염으로 인해 충치까지 발생한다면 마음이 무거울 수밖에 없는데요, 까다로운 위치에 자리를 잡고 있기 때문에 복잡한 과정을 거쳐야 발치, 충치치료가 될 수 있는 경우가 있습니다.
가지런하게 난 치아의 발치와 다르게 잇몸 절개, 골 삭제, 조각 분리 등 고난도의 과정이 진행되어야 하며, 대부분 신경관과 가까이 있으므로 신경과의 거리 관계를 유념해야 합니다.

영도치과 수도치과는 구강 내 검사를 비롯하여 파노라마를 포함한 방사선 사진 촬영을 진행하고 전반적인 경조직에 대한 평가를 시행합니다.
아래턱 신경과 가까운 경우가 많은 만큼 발치 시 주의가 필요한데요, 신경이나 혈관과 근접한 경우라면 3D CT 촬영을 진행하게 됩니다. 3차원적으로 위치 관계 분석을 통해 안정적으로 발치하여 부작용이나 합병증의 위험 없이 진행할 수 있기 때문이죠.
즉, X-ray와 3D CT 등 디지털 장비를 통한 정밀 진단이 가능하며, 신경 및 주변 구조물의 근접 정도를 파악한 후 3차원적으로 위치 관계를 분석하여 체계적인 진료 계획을 수립하므로 외부에서 직접 확인이 어려운 사랑 니의 전체적인 형태, 각도, 깊이, 인접 치아 뿌리 흡수 여부 등에 대한 종합적인 데이터를 기반으로 1:1 맞춤 진료 계획을 수립하여 보다 안정적이고 정밀하게 발치를 할 수 있습니다.

치의학 박사이자 보건복지부 인증 통합치의학과 전문의 대표원장님께서 풍부한 임상경험과 다양한 노하우를 바탕으로 모든 과정에 직접 임하고 계시는데요, 어려운 케이스도 문제없이 해결이 가능합니다.
많은 분들께서 통증으로 인해 발치를 두려워하시는데요, 영도치과 수도치과는 덜 아픈 마취를 위해 통증 저감 마취기를 사용하고 있습니다. 마취 시 통증을 줄일 수 있으므로 영도치과를 알아보신다면 통증, 공포감, 두려움은 덜고 본원에 내원하실 수 있습니다.
영도치과 더 이상 고민하지 말고 내원하셔서 충분한 상담과 정밀한 진단을 통해 발치 계획을 세워보시길 바랍니다.
*증례 사진은 의료법 제23조, 제56조에 의거하여 환자분의 동의하에 업로드가 진행되었습니다.